Menu
Schließen
Überzeugen Sie sich selbst durch beeindruckende Ergebnisse mit Zahnimplantaten und Zahnersatz in unserer Zahnklinik in Polen.



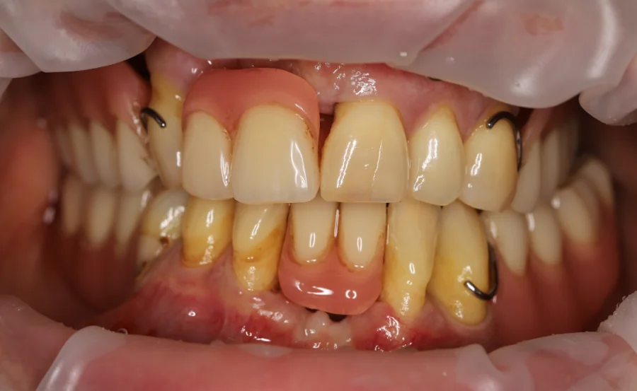
Die Patientin stellte sich mit fortgeschrittener Parodontitis und stark abgenutzten Zähnen durch Bruxismus vor. Sie wünschte sich wieder schöne Zähne, eine stabile Kaufunktion und ein natürlich wirkendes Lächeln.
Behandlungsmaßnahmen: Laserunterstützte Zahnreinigung bei Parodontitis, Setzen von 5 Zahnimplantaten in den Seitenbereichen von Ober- und Unterkiefer, Bruxismus-Therapie mit Botulinumtoxin sowie Zahnkronen in beiden Kiefern. Die Vollkeramik-Zahnkrone Vorher Nachher Bilder zeigen die deutliche Verbesserung von Funktion, Ästhetik und Komfort.
Behandlungen
Zahnarzt


Die Patientin kam mit fortgeschrittener Parodontitis und entzündetem Zahnfleisch in unsere Zahnklinik. Sie wünschte sich wieder neue schöne Zähne, ein gesundes Zahnfleisch und beschwerdefreies Kauen.
Behandlungsmaßnahmen: PAD-Lasertherapie der Zahnfleischtaschen, Entfernung nicht erhaltungswürdiger Zähne und Versorgung des Oberkiefers mit vollkeramischen Kronen auf Zahnimplantaten. Unsere Vollkeramik-Zahnkrone vorher nachher Bilder zeigen das harmonische Behandlungsergebnis.
Behandlungen
Zahnarzt


Der Patient kam mit stark zerstörten Zähnen, lockeren Zahnbrücken und schlecht sitzenden Teilprothesen in unsere Zahnklinik und wünschte sich wieder feste neue Zähne.
Behandlungsmaßnahmen: Entfernung der zerstörten Zähne, setzen von jeweils 4–6 Zahnimplantaten im Ober- und Unterkiefer und sofortige Versorgung mit Provisorien. Nach der Einheilung folgten die endgültigen festen Zahnbrücken auf Implantaten. Unsere All-on-4 / All-on-6 vorher nachher Bilder zeigen das eindrucksvolle Ergebnis.
Behandlungen
Zahnarzt


Der Patient kam mit sehr schlechten kaputten Zähnen und Parodontitis in unsere Zahnklinik in Slubice. Kauen war schmerzhaft, sein Lächeln und Selbstbewusstsein stark eingeschränkt.
Behandlungsmaßnahmen: Nach Entfernung der geschädigten Zähne und 3D-Planung mit Knochenaufbau setzten wir im Ober- und Unterkiefer jeweils 4 Zahnimplantate und versorgten den Patienten noch am selben Tag mit festsitzenden Zahnbrücken. Unsere All-on-4 vorher nachher Bilder zeigen das Ergebnis mit stabilen festen Zähnen.
Behandlungen
Zahnarzt


Der Patient hatte eine starke Angst vor Zahnarztbesuchen und wünschte sich eine möglichst schnelle und schonende Behandlung. Kaputte Zähne, Karies und Zahnfleischprobleme hatten sein Selbstwertgefühl stark beeinträchtigt.
Behandlungsmaßnahmen: Nach Entfernung der zerstörten Zähne setzten wir 6 Zahnimplantate (All-on-6) im Oberkiefer und Unterkiefer. Der Patient erhielt zeitnah einen provisorischen Zahnersatz. Die Zahnimplantate Vorher Nachher Bilder zeigen das Resultat.
Behandlungen
Zahnarzt


Die Patientin unterzog sich einer umfassenden Behandlung, um ihre Lebensqualität wiederzugewinnen. Zahlreiche Entzündungen, Karies an den Backenzähnen und zurückgehendes Zahnfleisch erforderten eine Kombination verschiedener Behandlungsmethoden.
Behandlungsmaßnahmen: Zähne wurden extrahiert, und Zahnimplantate im hinteren Bereich eingesetzt. Die verbleibenden Zähne erhielten Kronen, fehlende Zähne wurden durch Zahnbrücken ersetzt. Die Patientin berichtete von einer deutlichen Verbesserung. Die Zahnimplantat Vorher Nachher Bilder zeigen die erfolgreiche Behandlung.
Behandlungen
Zahnarzt


Der Patient kämpfte mit einem eingeschränkten Lächeln und zahlreichen kariösen Stellen, insbesondere Karies im Bereich der Backenzähne, was seine Lebensqualität erheblich beeinträchtigte. Außerdem litt er unter einem Rückgang des Zahnfleischs, was ihn unsicher machte.
Behandlungsmaßnahmen: Wir führten eine prothetische Versorgung mit Zahnimplantaten und Kronen durch, um die Ästhetik und Funktion des Lächelns wiederherzustellen. Die präzise Anpassung der Kronen gewährleistete ein natürliches Erscheinungsbild. Die Zahnersatz Vorher Nachher Bilder zeigen das Ergebnis.
Behandlungen
Zahnarzt


Aufgrund zahlreicher kariöser Läsionen und Karies, insbesondere an den Backenzähnen, entschied sich die Patientin aus gesundheitlichen Gründen für eine umfassende Behandlung im Oberkiefer. Der Zustand beeinträchtigte nicht nur die Ästhetik, sondern auch das Wohlbefinden der Patientin.
Behandlungsmaßnahmen: Zahnhygiene, Zahnbrücken auf Implantaten und Vollkeramikkronen verbesserten die Ästhetik des Lächelns deutlich. Die präzise Anpassung der Zahnbrücken sorgte für eine stabile Lösung. Die Zahnimplantate, Kronen und Zahnbrücken Bilder Vorher-Nachher veranschaulichen die erfolgreiche Veränderung.
Behandlungen
Zahnarzt


Der Patient wünschte sich eine ästhetische Überarbeitung seines Lächelns, insbesondere im Bereich der Frontzähne, um seinem Lächeln ein neues, verbessertes Erscheinungsbild zu verleihen.
Behandlungsmaßnahmen: Durch ein Überkronen der Frontzähne mit Vollkeramikkronen, konnten wir das Lächeln unseres Patienten deutlich verschönern. Die ästhetische Anpassung sorgte für ein harmonisches Ergebnis. Der Patient ist mit dem Frontzähne Überkronen sehr zufrieden die Vorher Nachher Bilder zeigen den Erfolg.
Behandlungen
Zahnarzt
Termin vereinbaren
Buchen Sie Ihr Erstgespräch für eine Zahnbehandlung in Polen direkt online – wir sind für Sie da.