Menu
Schließen
Wie entsteht ein Zahnloch, wie gefährlich ist es wirklich und wann muss man zum Zahnarzt? Alles Wichtige zu Karies, Behandlung und modernen Methoden.

Manchmal ist es nur ein kaum spürbares Ziehen. Ein winziger dunkler Fleck, den man im Spiegel nur mit Mühe erkennen kann. Ein kleines Loch im Zahn – leicht zu übersehen, aber niemals harmlos. Was sich zunächst nur wie eine kleine Unregelmäßigkeit anfühlt, kann sich schleichend zu einer tiefen und schmerzhaften Zahnerkrankung entwickeln: Karies.
Karies gehört zu den häufigsten Volkskrankheiten weltweit und doch wird sie oft unterschätzt. Gerade im Anfangsstadium verläuft sie oft ohne Schmerzen. Viele Menschen warten zu lange, ignorieren erste Anzeichen oder hoffen, dass das Problem sich von allein löst. Doch ein Loch im Zahn verschwindet nicht. Es wächst, frisst sich durch den Zahnschmelz, erreicht irgendwann das Dentin und im schlimmsten Fall den Zahnnerv.
Wer früh handelt, kann meist eine schonende, minimalinvasive Behandlung in Anspruch nehmen. Wer jedoch zögert, riskiert aufwendige Zahnbehandlungen oder gar den Verlust des Zahns. In diesem Artikel erfahren Sie, woran Sie ein Zahnloch erkennen, welche Ursachen dahinterstecken, welche modernen Behandlungsmöglichkeiten es gibt und wie Sie zukünftige Schäden vorbeugen können.
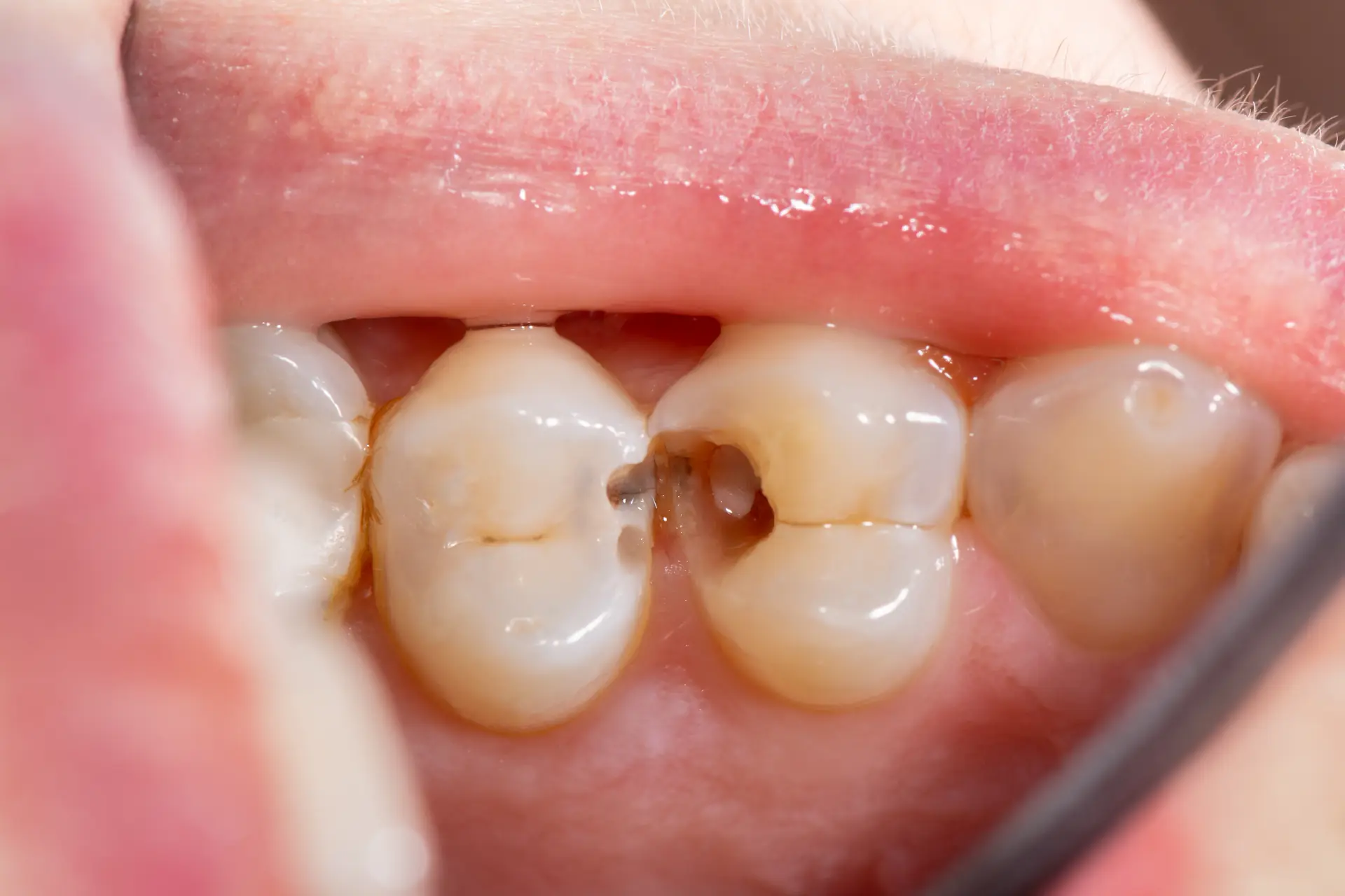
Ein Loch im Zahn ist das sichtbare Zeichen einer tieferliegenden Erkrankung: Zahnkaries. Diese entsteht, wenn Bakterien im Mund Zucker aus unserer Nahrung zu Säuren verarbeiten, die den Zahnschmelz angreifen. Wird dieser Prozess nicht gestoppt, löst sich nach und nach die mineralische Struktur des Zahns auf – erst im Schmelz, dann im darunterliegenden Dentin.

Dabei dauert es eine ganze Weile, bis aus beginnender Karies ein sichtbares Zahnloch wird. Der Verlauf ist meist schleichend:
Zu den häufigsten Ursachen zählen:
Das Zahnloch ist also kein isoliertes Problem, sondern Ausdruck eines komplexen Ungleichgewichts im Mund.
Nicht jedes Loch im Zahn macht sich sofort bemerkbar. Tatsächlich sind die frühen Stadien der Karies oft schmerzfrei. Doch es gibt subtile Anzeichen, auf die Sie achten sollten:
Besonders tückisch ist die Tatsache, dass tiefe Löcher im Zahn lange keine Schmerzen verursachen müssen. Daher sind regelmäßige Kontrollen beim Zahnarzt so wichtig, auch bei scheinbar gesunden Zähnen.
Wenn ein Loch im Zahn Schmerzen verursacht, ist der Schaden meist bereits tiefer. Der Zahnnerv (Pulpa) könnte beteiligt sein. Hierbei unterscheiden Zahnärzte zwischen:
In jedem Fall gilt: Schmerzen sind ein Signal des Körpers. Je früher Sie reagieren, desto einfacher und schonender kann behandelt werden.
Nicht jedes Loch im Zahn ist gleich. Der Unterschied zwischen einem kleinen und einem großen Loch im Zahn liegt nicht nur in der Tiefe oder Ausdehnung, sondern vor allem im damit verbundenen Behandlungsbedarf.
Ein kleines Loch im Zahn befindet sich meist nur im Zahnschmelz oder im oberen Dentin. Es verursacht oft noch keine Schmerzen, kann aber bei frühzeitiger Diagnose minimalinvasiv behandelt werden. In manchen Fällen lässt sich eine beginnende Karies sogar mit fluoridhaltigen Gels stabilisieren, ohne zu bohren – vorausgesetzt, die betroffene Stelle ist gut erreichbar und es liegt keine Kavität vor.
Behandlungsmöglichkeiten:
Ein größeres Zahnloch hat bereits mehr Zahnsubstanz zerstört und ist möglicherweise nahe am Zahnnerv. Hier ist in der Regel eine Füllungstherapie notwendig, manchmal auch eine Wurzelbehandlung. Je nach Ausdehnung kann sogar eine Zahnkrone erforderlich werden, um den Zahn langfristig zu erhalten.
Anzeichen für ein fortgeschrittenes Loch:
Wichtig zu wissen: Selbst wenn Sie „nur ein kleines Loch“ vermuten, kann es in der Tiefe bereits groß sein. Nur durch eine Untersuchung (oft mit Röntgenbild) lässt sich das Ausmaß sicher einschätzen.
Viele Patienten stellen sich beim Gedanken an ein Loch im Zahn sofort das surrende Geräusch des Bohrers vor, verbunden mit Unbehagen oder sogar Angst. Doch die moderne Zahnmedizin kennt heute schonende Alternativen, bei denen nicht immer gebohrt werden muss.
Wann kann man auf das Bohren verzichten?
Alternativen zur klassischen Füllung:
Aber: Sobald das Loch spürbar offen ist oder bis ins Dentin reicht, ist Bohren meist unumgänglich, aber auch dann sanft und schmerzarm durch moderne Anästhesiemethoden.
Viele Menschen zögern den Zahnarztbesuch hinaus, aus Angst vor Schmerzen oder Unsicherheit über den Ablauf. Dabei ist die Behandlung eines Zahnlochs heute in den meisten Fällen schnell, sicher und schonend.
Der typische Behandlungsablauf:
Die gesamte Behandlung dauert meist nur 30–60 Minuten – abhängig von Tiefe, Lage und Anzahl der betroffenen Zähne.
Die Kosten für die Behandlung eines Zahnlochs können variieren – je nach Größe, Material und Methode. In Deutschland übernehmen die gesetzlichen Krankenkassen grundsätzlich die Basisversorgung mit einfacherer Füllung (Backenzahn) oder zahnfarbener Füllung (Frontzahn). Viele Patienten entscheiden sich jedoch für ästhetischere oder langlebigere Alternativen.
Typische Kosten in Deutschland:
In Zahnkliniken in Polen, wie auch unserer, sind die Kosten für Zahnbehandlungen bis zu 50–70 % günstigerer als in Deutschland, bei vergleichbar hoher medizinischer Qualität. Die exakte Kostenaufstellung erfolgt immer nach individueller Diagnose und in persönlicher Beratung.
Ein bereits vorhandenes Loch im Zahn lässt sich nicht mehr rückgängig machen, aber neue Löcher lassen sich in vielen Fällen verhindern. Die Grundlage dafür ist eine Kombination aus routinemäßiger Zahnpflege, gesunder Ernährung und regelmäßigen Zahnarztbesuchen.
Die wichtigsten Maßnahmen zur Karies-Vorbeugung:
Wenn Sie zu häufigen Löchern neigen, lohnt sich ein Gespräch über individuelle Prophylaxe-Programme, beispielsweise mit Fluoridierung oder Keimbestimmung.
Ein kleines Loch im Zahn ist nicht harmlos, es ist der Anfang eines Prozesses, der sich nicht von selbst stoppt. Aber Sie können ihn aufhalten. Je früher Sie handeln, desto sanfter, kostengünstiger und nachhaltiger lässt sich der Schaden beheben.
Ob Sie erste Symptome bemerken, bereits Schmerzen haben oder einfach nur auf Nummer sicher gehen möchten: Ein Zahnarztbesuch bringt Klarheit.
Sie fragen sich, ob eine Zahnbehandlung jetzt für Sie die richtige Lösung ist? In unserer modernen Zahnklinik in Slubice, Polen – direkt bei Frankfurt (Oder), nur 100 km von Berlin entfernt – sind wir auf hochwertigen Zahnersatz und Zahnimplantate spezialisiert. Unser erfahrenes Team nimmt sich Zeit für Sie – mit viel Herz, Fachkompetenz, höchster Präzision und dem Blick für das Wesentliche: Ihr Wohlbefinden. Gemeinsam finden wir die optimale Lösung für Ihre Zahnsituation und das bei bis zu 50 % günstigeren Behandlungskosten als in Deutschland.
Vereinbaren Sie jetzt Ihr unverbindliches Erstgespräch – ganz einfach online. Wir freuen uns darauf, Sie persönlich kennenzulernen!
Hier finden Sie die häufigsten Fragen zum Loch im Zahn, kompakt und verständlich beantwortet.
Ein Loch im Zahn kann sich durch eine dunkle Verfärbung, eine sichtbare Einkerbung oder eine raue Stelle an der Zahnoberfläche zeigen. Je nach Stadium der Karies ist es mit bloßem Auge erkennbar oder nur durch Röntgen sichtbar. Besonders in den Zahnzwischenräumen bleibt es oft lange unbemerkt.
Karies entsteht, wenn Bakterien im Zahnbelag Zucker in Säuren umwandeln. Diese greifen den Zahnschmelz an und führen zu Entkalkung, später zu einem Loch im Zahn. Unzureichende Zahnpflege, zu viel Zucker und ein geschwächter Speichelfluss fördern die Entstehung.
Frühe Anzeichen für beginnende Karies sind Empfindlichkeit bei Süßem, Kaltem oder Heißem, ein leichtes Ziehen im Zahn oder kleine weiße bis bräunliche Flecken auf dem Zahnschmelz. Schmerzen treten meist erst auf, wenn das Loch größer wird.
Karies im Anfangsstadium, bei der noch keine Kavität besteht, kann manchmal durch verbesserte Mundhygiene, fluoridhaltige Zahnpasta oder professionelle Fluoridierung stabilisiert werden. Eine echte Selbstbehandlung ist jedoch nicht möglich, eine zahnärztliche Kontrolle ist immer ratsam.
Die Geschwindigkeit, mit der sich Karies verschlimmert, hängt von der Mundhygiene, Ernährung, Speichelmenge und genetischen Faktoren ab. In ungünstigen Fällen kann sich aus initialer Karies innerhalb weniger Monate ein schmerzhaftes Zahnloch entwickeln.
Karies zeigt sich häufig als bräunliche oder schwarze Flecken, die weich oder rau wirken. Eine harmlose Verfärbung hingegen ist meist oberflächlich, glatt und verursacht keine Schmerzen. Sicherheit gibt nur die zahnärztliche Untersuchung, oft unterstützt durch Röntgen oder Lichtdiagnostik.
Regelmäßiges Zähneputzen mit fluoridhaltiger Zahnpasta, die tägliche Reinigung der Zahnzwischenräume, eine zuckerarme Ernährung und Kontrollbesuche beim Zahnarzt sind die wichtigsten Maßnahmen gegen Karies. Auch das Kauen von zuckerfreiem Kaugummi kann helfen, den Speichelfluss zu fördern.
Karies am Backenzahn bleibt oft lange unentdeckt, da die Kauflächen tiefe Rillen (Fissuren) und schwer zugängliche Stellen haben. Beim Verdacht auf ein Loch im Backenzahn sollte frühzeitig gehandelt werden, etwa durch eine Fissurenversiegelung, Kompositfüllung oder ggf. Keramikinlay, um Folgeschäden zu vermeiden.
Zahnbehandlung in Polen

Sie sind an einer hochwertigen Zahnbehandlung in Polen interessiert? Und möchten bis zu 50% der Behandlungskosten sparen? Dann kontaktieren Sie uns bequem online oder übers Telefon – wir freuen uns auf Sie!

Termin vereinbaren
Buchen Sie Ihr Erstgespräch für eine Zahnbehandlung in Polen direkt online – wir sind für Sie da.