Menu
Schließen
Hier erfahren Sie alles über Veneers Kosten, Risiken, Haltbarkeit und warum eine Zahnbehandlung im Ausland für viele zur echten Option wird.

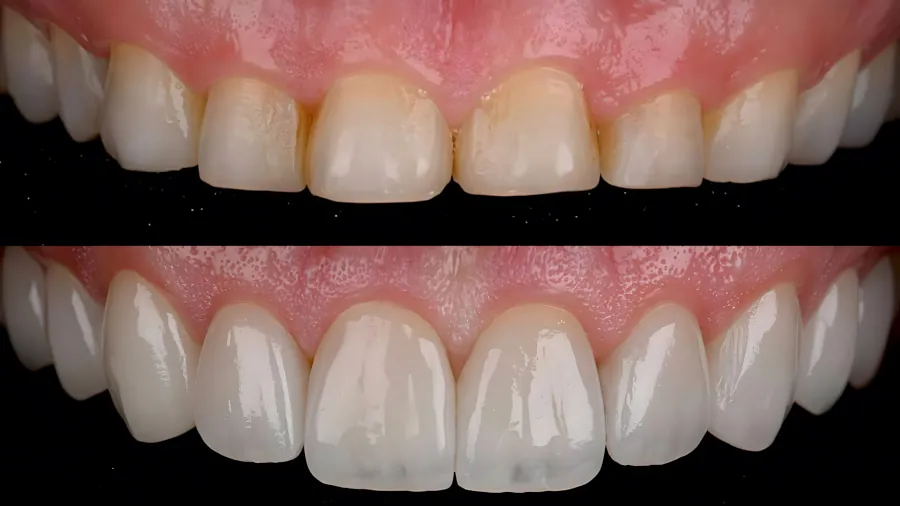
Ein Lächeln kann Vertrauen schaffen, Nähe erzeugen und doch verstecken es viele Menschen aus Unsicherheit. Verfärbte Zähne, kleine Lücken oder abgenutzte Schneidezähne lassen das Lächeln oft weniger strahlen, als man es sich wünscht. Genau hier setzen Veneers an: hauchdünne Schalen aus Keramik oder Komposit, die auf die Zahnoberfläche aufgebracht werden und ein ästhetisch harmonisches, natürlich wirkendes Lächeln ermöglichen.
Doch was kosten Veneers wirklich? Und worin unterscheiden sich Keramik-Veneers und Komposit-Veneers, nicht nur in ihrer Haltbarkeit, sondern auch im Preis?
In diesem Artikel geben wir Ihnen einen umfassenden Überblick: Über die Veneers Kosten pro Zahn, die Unterschiede der Materialien, realistische Veneers Preise in Deutschland und Polen und warum viele Patienten sich für eine Zahnbehandlung im Ausland entscheiden.
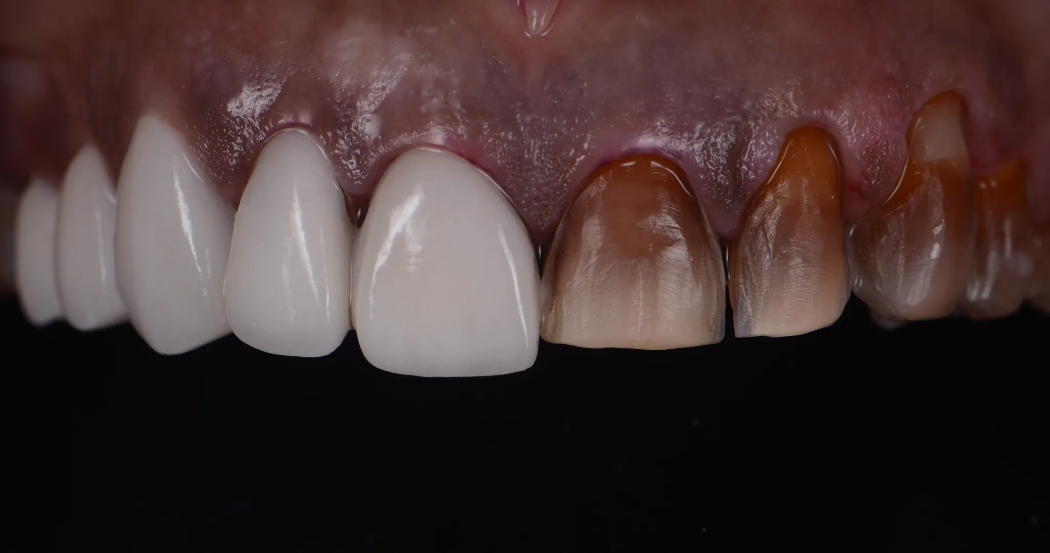
Veneers sind hauchdünne Verblendschalen, meist aus hochwertiger Keramik oder Kompositkunststoff, die dauerhaft auf die sichtbaren Frontzähne aufgebracht werden. Ziel ist es, Zahnform, Zahnfarbe oder Zahnstellung optisch zu korrigieren, ohne dabei die natürliche Zahnsubstanz unnötig zu belasten.

Sie eignen sich vor allem bei:
Im Gegensatz zur klassischen Krone bleibt beim Veneer der Zahn weitgehend erhalten. Die Behandlung ist minimalinvasiv und wird häufig in der ästhetischen Zahnmedizin eingesetzt, nicht aus medizinischer Notwendigkeit, sondern um das eigene Erscheinungsbild zu verbessern.
Keramik-Veneers wirken besonders natürlich, da sie das Licht ähnlich wie echter Zahnschmelz reflektieren. Komposit-Veneers sind kostengünstiger, eignen sich aber eher für kleinere Korrekturen. Eine Sonderform sind die sogenannten Non-Prep-Veneers – wie Lumineers – hier wird der Zahn kaum oder gar nicht beschliffen.
Je nach Ausgangssituation und gewünschtem Ergebnis entscheidet ein Zahnarzt gemeinsam mit Ihnen, welche Art von Zahnveneers sinnvoll ist.
Die Kosten für Veneers variieren stark – nicht nur von Zahnarzt zu Zahnarzt, sondern auch je nach Material, Technik und individuellem Behandlungsaufwand. Ein pauschaler Preis ist deshalb kaum seriös zu nennen. Dennoch lässt sich sagen: Je nach Ausgangslage bewegen sich die Veneers Preise pro Zahn meist im Bereich von 100 € bis 2.000 €.
Die wichtigsten Preisfaktoren im Überblick:
Wichtig zu wissen: Auch wenn Veneers eine ästhetische Behandlung sind, sollte die Entscheidung nicht allein vom Preis abhängen. Erfahrung, Technik und individuelle Beratung sind entscheidend für ein sicheres und schönes Ergebnis.
In Deutschland gelten Veneers als rein ästhetische Zahnbehandlung und diese wird in der Regel nicht von den gesetzlichen Krankenkassen übernommen. Patienten müssen die Kosten also meist vollständig selbst tragen.
Die Preise für Veneers in Deutschland unterscheiden sich je nach Region, Zahnarzt und Materialqualität deutlich. Eine grobe Orientierung:
Diese Preise beinhalten in der Regel die Beratung, Planung, Zahnvorbereitung, Herstellung im zahntechnischen Labor und das Einsetzen. Zusätzliche Leistungen wie Vorbehandlungen, digitale Smile-Design oder Provisorien können die Kosten weiter erhöhen.
Die Veneers Kosten pro Zahn stellen für viele eine finanzielle Hürde dar. Umso verständlicher ist das wachsende Interesse an Alternativen im europäischen Ausland, etwa an Zahnkliniken in Polen, die qualitativ hochwertige Behandlungen zu deutlich günstigeren Preisen anbieten.
Immer mehr Menschen aus Deutschland entscheiden sich für eine Behandlung mit Veneers in Polen, vor allem wegen der attraktiven Preisstruktur. Doch lohnt sich der Weg über die Grenze wirklich?
Tatsächlich lassen sich bei gleicher Materialqualität und vergleichbarer Technik oft deutlich geringere Kosten erzielen. Der Grund liegt nicht in geringerer Qualität, sondern in niedrigeren Lohn-, Miet- und Laborkosten. Zahnkliniken in Polen, die sich auf internationale Patienten spezialisiert haben, bieten häufig moderne Ausstattung, deutschsprachige Betreuung und erfahrene Zahnärzte.
Durchschnittliche Veneers Kosten in Polen, zur groben Orientierung:
In vielen Fällen sparen Patienten bis zu 50–70 % der Behandlungskosten im Vergleich zu Deutschland, bei vergleichbar hoher Qualität.
Wichtig ist, nicht nur auf den Preis zu achten. Entscheidend sind:
Der Vergleich Deutschland – Polen zeigt: Wer sich gut informiert und eine seriöse Zahnklinik wählt, kann in Polen nicht nur sparen, sondern auch ein langlebiges, ästhetisch anspruchsvolles Ergebnis erzielen.
Hinweis: Alle Preisangaben dienen nur zur Orientierung. Die finalen Kosten hängen immer vom individuellen Befund ab und werden nach persönlicher Untersuchung und Beratung kalkuliert.
In den meisten Fällen übernehmen die gesetzlichen Krankenkassen die Kosten für Veneers nicht. Der Grund: Veneers gelten als rein ästhetische Maßnahme, nicht als medizinisch notwendige Behandlung. Auch dann, wenn das Selbstwertgefühl unter dem Zahnzustand leidet, bleibt die Leistung in der Regel eine Privatsache.
Obwohl Veneers das äußere Erscheinungsbild deutlich verbessern können, bleiben sie in den meisten Fällen eine eigene Investition in ästhetische Zähne. Eine gute Beratung und individuelle Planung helfen dabei, Kosten realistisch einzuschätzen und langfristig sinnvoll zu investieren.
Tipp: Wer Veneers im Ausland plant, wie z.B. in Polen, sollte mit seiner Zahnzusatzversicherung im Vorfeld klären, ob die Kostenübernahme für Veneers auch dort gilt. Viele Anbieter erkennen Zahnbehandlungen im EU-Ausland ausdrücklich an.
Ein schönes Lächeln sollte nicht nur kurzfristig überzeugen, es soll bleiben. Wer sich für Veneers entscheidet, stellt daher oft die berechtigte Frage: Wie lange halten Veneers eigentlich?
Die Haltbarkeit von Veneers hängt von verschiedenen Faktoren ab – allen voran vom Material, von der Behandlungsqualität und der Pflege im Alltag.
Durchschnittliche Lebensdauer von Veneers:
Wichtig: Veneers sind zwar sehr stabil, aber nicht „für immer“. Sie gelten als langfristige, aber nicht lebenslange Lösung und müssen nach einigen Jahren ggf. erneuert oder angepasst werden.
Ein ehrliches Gespräch mit Ihrem Zahnarzt hilft dabei, die realistische Lebensdauer Ihrer Veneers einzuschätzen, basierend auf Ihren individuellen Voraussetzungen.
Veneers können mehr als nur Zähne verschönern, sie können Selbstvertrauen und ein Lächeln schenken, das man wieder gern zeigt. Doch hohe Kosten in Deutschland schrecken viele ab.
Eine Zahnbehandlung im Ausland wie Polen bietet eine seriöse Alternative: moderne Ausstattung, erfahrene Zahnärzte und deutschsprachige Betreuung, zu deutlich günstigeren Preisen. Wer sich gut informiert und eine qualifizierte Zahnarztpraxis oder Zahnklinik wählt, kann eine vergleichbare Qualität wie in Deutschland erhalten.
Neue Zähne sollten nicht künstlich wirken und ein neues Lächeln nicht unerschwinglich sein. Mit hochwertigen Veneers aus Polen kann beides möglich werden.
Sie fragen sich, ob eine Zahnbehandlung jetzt für Sie die richtige Lösung ist? In unserer modernen Zahnklinik in Slubice, Polen – direkt bei Frankfurt (Oder), nur rund 100 km von Berlin entfernt – sind wir auf hochwertige Veneers und Zahnersatz spezialisiert. Unser Team nimmt sich Zeit für Sie – mit viel Herz, Fachwissen, höchster Präzision und dem Blick für das Wesentliche: Ihr Wohlbefinden. Gemeinsam finden wir die optimale Lösung für Ihre Zahnsituation und das bei bis zu 50 % günstigeren Behandlungskosten als in Deutschland.
Vereinbaren Sie jetzt Ihren unverbindlichen Beratungstermin – telefonisch oder bequem online. Wir freuen uns darauf, Sie persönlich kennenzulernen!
Hier finden Sie die häufigsten Fragen zu Veneers Kosten, kompakt und verständlich beantwortet.
Die Kosten für Veneers pro Zahn hängen vom Material, Technik und dem Behandlungsort ab. In Deutschland zahlen Sie für Keramik-Veneers ca. 900 bis 2.000 €, für Lumineers / Non-Prep-Veneers ca. 700 bis 1.500 € und für Komposit-Veneers ca. 100 bis 400 €. Im Ausland wie z.B. Polen können Patienten bis zu 50–70 % der Behandlungskosten im Vergleich zu Deutschland sparen, bei vergleichbar hoher Qualität.
Veneers in Polen sind meist vergleichbar hochwertig wie in Deutschland, aber deutlich günstiger: Die Kosten pro Zahn sind bei Keramik-Veneers ca. 330 bis 695 €, Lumineers / Non-Prep-Veneers ca. 330 bis 550 € und Komposit-Veneers ca. 70 bis 300 €. Qualifizierte Zahnarztpraxen oder Zahnkliniken in Polen bieten moderne Behandlungen mit deutschsprachiger Betreuung zu Preisen, die oft 50–70 % unter denen in Deutschland liegen.
Keramik-Veneers sind langlebiger, lichtdurchlässiger und farbstabil. Sie wirken besonders natürlich und halten bis zu 15 Jahre. Komposit-Veneers bestehen aus Kunststoff, sind günstiger, aber weniger haltbar und anfälliger für Verfärbungen.
Die Haltbarkeit von Veneers hängt vom Material und der Pflege ab. Keramik-Veneers ca. 10–15 Jahre und Komposit-Veneers ca. 5–10 Jahre. Regelmäßige Zahnpflege und professionelle Kontrollen verlängern die Lebensdauer deutlich.
Nein. Gesetzliche Krankenkassen übernehmen die Kosten für Veneers in der Regel nicht, da es sich um eine ästhetische Behandlung handelt. Private oder Zahnzusatzversicherungen können unter bestimmten Bedingungen Kosten übernehmen, hier lohnt sich ein Blick in die Vertragsbedingungen.
Nur selten. Veneers gelten als ästhetische Leistung und werden meist nicht übernommen. Eine Kostenbeteiligung ist bei medizinischer Notwendigkeit und je nach Tarif denkbar.
In der Regel ja – vor allem bei Keramik-Veneers wird eine dünne Schicht Zahnschmelz entfernt. Bei sogenannten Non-Prep-Veneers (z. B. Lumineers) kann in bestimmten Fällen auf das Abschleifen verzichtet werden. Eine individuelle Beratung ist wichtig.
Typischer Ablauf: Beratung & Analyse der Zahnsituation, Abdruck oder digitales Scanverfahren, ggf. Zahnvorbereitung (z. B. Schleifen), Anfertigung im Labor, Einsetzen und Feinanpassung. In vielen Zahnkliniken ist eine Veneers Behandlung in wenigen Tagen möglich, ideal z. B. im Rahmen eines Kurzaufenthalts.
Zahnbehandlung in Polen

Sie sind an einer hochwertigen Zahnbehandlung in Polen interessiert? Und möchten bis zu 50% der Behandlungskosten sparen? Dann kontaktieren Sie uns bequem online oder übers Telefon – wir freuen uns auf Sie!

Termin vereinbaren
Buchen Sie Ihr Erstgespräch für eine Zahnbehandlung in Polen direkt online – wir sind für Sie da.